こんにちは。京都府京都市左京区にある医療法人社団 京都下鴨ライフ歯科・矯正歯科・小児歯科です。

マウスピース矯正は、装置が透明で目立ちにくく、取り外しができることから人気のある矯正方法です。
しかし、治療中に虫歯になることがあると不安を感じる方も少なくありません。実際に、清掃が不十分な状態が続くと、マウスピースと歯の間に汚れがたまり、虫歯のリスクが高まることがあります。
この記事では、マウスピース矯正中に虫歯になる原因や、虫歯になった際の対処法、そして日常生活でできる予防策について詳しく解説します。マウスピース矯正を安全に続けるために、正しい知識を身につけましょう。
目次
マウスピース矯正とは

マウスピース矯正とは、透明な樹脂製の矯正装置(アライナー)を歯に装着して、少しずつ歯並びを整えていく治療法です。
従来のワイヤー矯正と異なり、目立ちにくく取り外しができる点が大きな特徴です。見た目を気にせず日常生活を送ることができるため、年齢問わず多くの人に選ばれています。
マウスピース矯正のメリットは、外見に影響が出にくいことのほかに、取り外しが可能なため食事や歯磨きの際にストレスが少ない点が挙げられます。また、金属アレルギーの心配がないことや、口腔内を傷つけにくい点も注目されている理由でしょう。
一方で、マウスピース矯正は決められた時間装着しなければ効果が出にくく、自己管理が重要な治療法といえます。1日20~22時間の装着が推奨されており、取り外しが可能であるがゆえに装着時間が短くなりやすいのがデメリットです。
適切なケアを行えば、マウスピース矯正は非常に効果的な治療法です。自分のライフスタイルに合った矯正方法を選ぶことが、治療の成功に繋がります。
マウスピース矯正中に虫歯になる原因

マウスピースは取り外しが可能で目立ちにくいという利点がある一方で、口腔環境の変化によっては虫歯のリスクが高まります。ここでは、マウスピース矯正中に虫歯になる主な原因について解説します。
唾液の自浄作用が期待できない
唾液には、口腔内を洗浄し、虫歯菌の活動を抑える働きがあります。食事のあとに歯を磨かず、すぐにマウスピースを装着すると唾液が行き渡らず、細菌が活発になります。その結果、唾液の効果が薄れて虫歯になるリスクが高まるのです。
特に、マウスピースを装着していると、歯がマウスピースに覆われるため唾液の作用が働きにくくなります。マウスピース矯正中は装置を長時間装着するため、虫歯が発生・進行しやすくなるのです。
食後のケアがおろそかになる
マウスピース矯正では1日20〜22時間の装置の装着が推奨されますが、食事のたびにマウスピースを取り外す手間から、ケアを怠る方が少なくありません。特に、夕食の後に歯磨きをせず、マウスピースを装着したまま就寝すると、細菌が繁殖しやすい環境になります。
就寝時には唾液の分泌が減り、口腔内の自浄作用も低下するため、虫歯になるリスクが高まります。
装置の清掃が不足している
マウスピース矯正では、口内だけでなく装置も清潔に保つことが欠かせません。口内をどれだけ綺麗にしていても、汚れたマウスピースを装着しては虫歯のリスクが高まります。
マウスピースは1〜2週間に一度交換して新しいものになりますが、毎日丁寧に洗浄して使用しましょう。
装置による口腔内の乾燥
マウスピース矯正中の口腔内の乾燥も、虫歯のリスクを高める要因となります。マウスピースを装着すると唾液の流れが遮られ、結果的に唾液による自浄作用が低下します。唾液は口腔内の細菌を洗い流し、虫歯菌の活動を抑制する重要な働きを担っています。
また、乾燥した状態では食べかすが歯に残りやすくなるため、これも虫歯の原因になり得るでしょう。
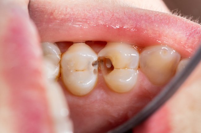
マウスピース矯正中に虫歯になったときの対処法

マウスピース矯正中に虫歯ができた場合、放置すると矯正の進行に支障をきたすだけでなく、虫歯の進行を早める原因にもなります。そのため、早期発見と早期対応が非常に重要です。
以下に、マウスピース矯正中に虫歯を発見した際の具体的な対処法をご紹介します。
症状が軽度の場合
初期の虫歯やごく軽度の虫歯であれば、マウスピース矯正中でも対応できることがあります。例えば、エナメル質にとどまるごく小さな虫歯であれば、歯を削る量が少なく、短時間の処置で済むことが多いです。
小さな虫歯治療では、最小限の歯を削り、レジンという樹脂材料を詰めて修復を行います。1回の治療で完了することも多く、マウスピースの再装着に大きな影響を与えない場合がほとんどです。
また、虫歯の予防につながる処置を行うことで、矯正治療の進行を妨げず、より健康的な口腔環境を維持できます。
進行している場合
虫歯が進行している場合は、マウスピース矯正を継続するのは難しいかもしれません。象牙質や神経まで虫歯が到達した場合、歯を削る範囲が増えるので、作成済みのマウスピースが合わなくなる可能性が高いでしょう。
しかし、虫歯を放置するとさまざまな問題が発生する恐れがあります。そのため、虫歯の治療は行わなければなりません。
虫歯治療後の歯列の状態に合わせて、マウスピースを再作成して、矯正治療を続ける流れが一般的です。
マウスピース矯正中に虫歯になるのを防ぐには

マウスピース矯正中でも虫歯治療を行うことは可能ですが、虫歯を予防するのが理想といえるでしょう。ここでは、マウスピース矯正中に虫歯になるのを防ぐ方法についてご紹介していきます。
マウスピースを外したら洗浄する
マウスピース矯正では、食事の際にマウスピースを取り外します。食後に再装着しますが、マウスピースに付着した汚れや細菌を放置すると、虫歯のリスクが高まるでしょう。
マウスピースに付着した細菌が歯に移動し、虫歯の原因になるのです。そのため、マウスピースを清潔に保つことも欠かせません。
基本的には流水化でこすり洗いするだけで問題ありません。1週間に2〜3回ほどの頻度で、マウスピース専用の洗浄剤を使用するとより清潔に保てます。
食後は歯磨きを徹底する
マウスピース矯正中に虫歯になる大きな原因として、歯磨きの不足が挙げられます。食事の後、口内に残った食べかすなどによって虫歯のリスクが高まるためです。
食後は必ず歯磨きを行い、口腔内を清潔な状態にしてからマウスピースを装着してください。
フッ素入り歯磨き剤を活用する
フッ素入りの歯磨き剤を使用することも、虫歯予防に効果的です。フッ素には、歯の再石灰化を促進し、エナメル質を強化する働きがあります。特に、マウスピース矯正中は虫歯のリスクが高まるので、積極的に活用しましょう。
検診を欠かさない
マウスピース矯正中に虫歯になるのを防ぐためには、定期的に歯科検診を受けることが欠かせません。検診では、歯周病や虫歯の有無だけでなく、治療中の歯の動きや噛み合わせの状態なども確認されます。
また、毎日の歯磨きを丁寧にしているつもりでも、磨き残しはどうしても出ます。さらに、マウスピースをつけていると唾液の作用がうまく働かなくなるので、虫歯のリスクが高まります。
歯科医師や歯科衛生士によるクリーニングを受ければ、普段の歯磨きでは落としきれない汚れやプラークを取り除くことができ、口腔内を清潔な状態に保てるでしょう。ブラッシング指導も受けられるので、正しい歯磨き方法の習得につながるでしょう。
まとめ

マウスピース矯正は、装置が目立ちにくく、取り外しができるなど利便性の高い矯正方法です。
しかし、唾液の循環が遮られたり、マウスピースの管理が必要だったりするために、虫歯のリスクが高まります。特に、食後の際のケアを怠ると、虫歯が進行しやすい環境になります。
スムーズに治療を進めるためにも、虫歯を適切に予防していきましょう。
マウスピース矯正を検討されている方は、京都府京都市左京区にある医療法人社団 京都下鴨ライフ歯科・矯正歯科・小児歯科にご相談ください。
当院では、一人ひとりのライフステージに沿った歯科医療を提供できるよう努めています。小児・成人矯正や予防歯科、虫歯・歯周病治療、ホワイトニングなどさまざまな診療に力を入れています。
ホームページはこちら、WEB予約やLINE予約相談もお待ちしております。
奥村 亮司

















